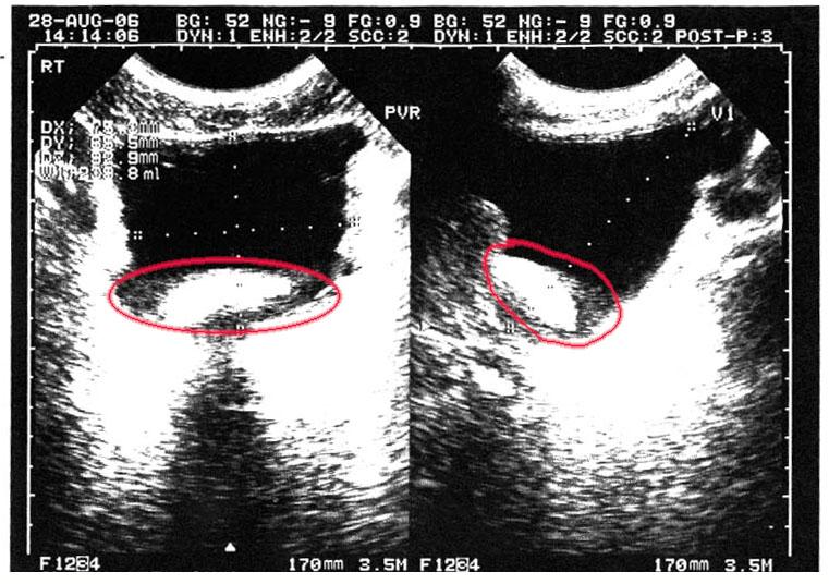
blocking December 27, 2011December 27, 2011 admin Previous Next ultrasound revealing the mass blocking urination